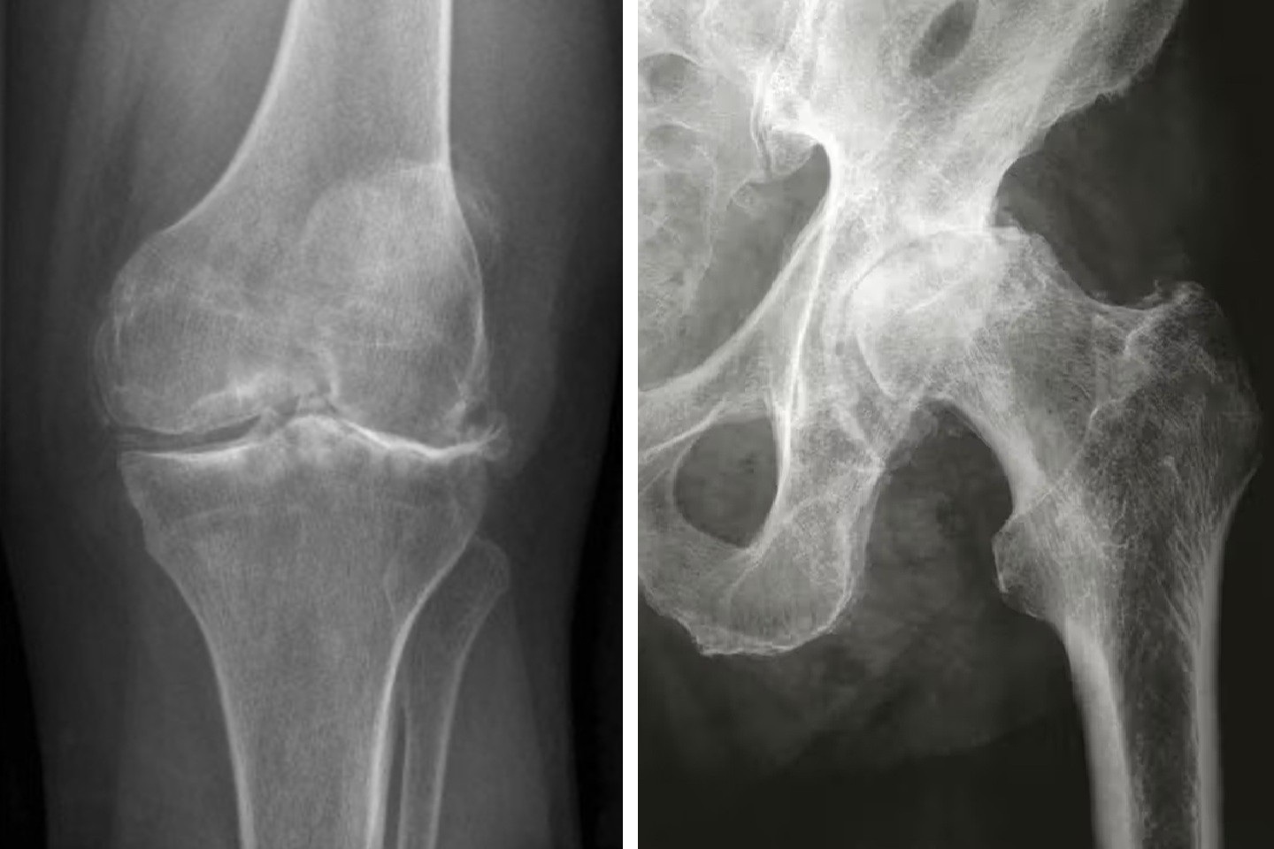
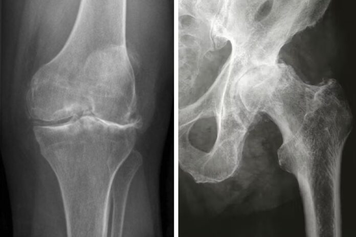
Η οστεοαρθρίτιδα είναι μια εκφυλιστική νόσος των αρθρώσεων, η οποία χαρακτηρίζεται από σταδιακή καταστροφή του αρθρικού χόνδρου, αλλά και άλλων ανατομικών στοιχείων της άρθρωσης, όπως οι μηνίσκοι, οι σύνδεσμοι και ο αρθρικός θύλακος. Η πάθηση αυτή προκαλεί χρόνιο πόνο, φλεγμονή και μειωμένη κινητικότητα.
Για την παθογένεια, τα συμπτώματα και τις διαθέσιμες θεραπευτικές επιλογές σχετικά με την οστεοαρθρίτιδα ισχίου ή γόνατος, απαντά ο κ. Αναστάσιος Δ. Δεληγεώργης MD, MSc, Ορθοπεδικός Χειρουργός – Αθλητίατρος, Αναπλ. Διευθυντής της Γ’ Ορθοπεδικής Κλινικής του Νοσοκομείου ΥΓΕΙΑ, Πιστοποιημένος Χειρουργός Ρομποτικής MAKO, Εξειδικευμένος στη χειρουργική ώμου, ισχίου και γόνατος.
1. Ποια είναι τα αίτια της οστεοαρθρίτιδας ισχίου και γόνατος;
Οι πιο συχνοί παράγοντες που συμβάλλουν στην εμφάνιση της νόσου περιλαμβάνουν:
-
Φυσιολογική φθορά λόγω ηλικίας
-
Κληρονομική προδιάθεση
-
Παλαιότεροι τραυματισμοί της άρθρωσης
-
Υπέρχρηση ή μηχανική καταπόνηση
2. Ποια είναι τα κύρια συμπτώματα και πώς επιβεβαιώνεται η διάγνωση;
Συμπτώματα:
-
Πόνος στην κίνηση ή ακόμη και σε κατάσταση ηρεμίας
-
Δυσκαμψία, ιδιαίτερα τις πρωινές ώρες ή μετά από παρατεταμένη ακινησία
-
Δυσκολία στη βάδιση και περιορισμός της κινητικότητας
Διάγνωση:
-
Λήψη λεπτομερούς ιατρικού ιστορικού και φυσική εξέταση
-
Επιβεβαίωση με απεικονιστικές εξετάσεις όπως ακτινογραφίες
-
Σε ορισμένες περιπτώσεις απαιτείται μαγνητική ή αξονική τομογραφία
3. Ποιες είναι οι θεραπευτικές επιλογές για την οστεοαρθρίτιδα;
Η θεραπεία χωρίζεται σε δύο βασικές κατηγορίες:
Συντηρητική αντιμετώπιση:
-
Χορήγηση φαρμάκων (παυσίπονα και αντιφλεγμονώδη)
-
Φυσιοθεραπεία
-
Ενέσιμες θεραπείες όπως PRP, υαλουρονικό οξύ ή κορτιζόνη
Χειρουργική αντιμετώπιση:
Σε προχωρημένες περιπτώσεις όπου η συντηρητική θεραπεία αποτυγχάνει, προτείνεται η ολική ή μερική (μονοδιαμερισματική) αρθροπλαστική.
4. Μπορεί το χειρουργείο να αποφευχθεί με ενέσιμες θεραπείες;
Οι ενέσιμες θεραπείες με PRP, υαλουρονικό οξύ ή κορτιζόνη έχουν τεκμηριωμένη αποτελεσματικότητα στη μείωση των συμπτωμάτων.
Ο κ. Δεληγεώργης αναφέρει ότι η Ευρωπαϊκή Ορθοπεδική Εταιρεία (European Paediatric Orthopaedic Society), έπειτα από εκτενή ανασκόπηση της διεθνούς βιβλιογραφίας, κατέληξε πως 2–4 εγχύσεις PRP ανά 1–3 εβδομάδες μπορούν να περιορίσουν τα συμπτώματα και να καθυστερήσουν την ανάγκη χειρουργικής παρέμβασης, ειδικά στα αρχικά στάδια της νόσου. Το PRP μάλιστα εμφανίζει μεγαλύτερη αποτελεσματικότητα σε σύγκριση με την κορτιζόνη και το υαλουρονικό οξύ.
5. Τι είναι η ολική αρθροπλαστική ισχίου/γόνατος και πότε είναι απαραίτητη;
Η ολική αρθροπλαστική είναι η χειρουργική αντικατάσταση των φθαρμένων αρθρικών επιφανειών με τεχνητά εμφυτεύματα (προθέσεις).
Ενδείκνυται όταν:
-
Ο χρόνιος πόνος περιορίζει τη λειτουργικότητα
-
Η ποιότητα ζωής επηρεάζεται αρνητικά
-
Υπάρχει σοβαρή μείωση της κινητικότητας
-
Έχουν αποτύχει όλες οι μη χειρουργικές προσεγγίσεις
6. Ποιες είναι οι νεότερες εξελίξεις στην αρθροπλαστική;
-
Πρωτόκολλα Fast Track: εξειδικευμένη αναισθησία και αναλγησία για άμεση κινητοποίηση
-
Ελάχιστα επεμβατικές τεχνικές (MIS – Minimally Invasive Surgery) με μικρότερες τομές και λιγότερο τραύμα στους ιστούς
-
Τρισδιάστατη εκτύπωση (3D Printing): παρέχει ακρίβεια στον προεγχειρητικό σχεδιασμό και εξατομίκευση της θεραπείας
-
Ρομποτική αρθροπλαστική: υψηλή ακρίβεια στην τοποθέτηση της πρόθεσης, προσαρμοσμένη στην ανατομία του ασθενούς
7. Τι είναι η ρομποτική αρθροπλαστική MAKO και ποια τα πλεονεκτήματά της;
Η MAKO ρομποτική αρθροπλαστική είναι μια τεχνολογικά προηγμένη μέθοδος, που εφαρμόζεται σε ολικές ή μερικές επεμβάσεις στο ισχίο, το γόνατο και πλέον και στον ώμο.
Η διαδικασία περιλαμβάνει:
-
Χρήση ρομποτικού βραχίονα, ο οποίος καθοδηγείται από τον χειρουργό
-
3D προεγχειρητικό σχεδιασμό, με βάση αξονική τομογραφία που επιτρέπει εξατομικευμένη προσαρμογή στα ανατομικά χαρακτηριστικά του κάθε ασθενούς
-
Ακρίβεια χιλιοστού στην τοποθέτηση των προθέσεων
Πλεονεκτήματα:
-
Απόλυτη ακρίβεια στην εκτέλεση
-
Μικρότερες τομές και πιο ήπια μετεγχειρητική αποκατάσταση
-
Εξατομίκευση της επέμβασης με προσαρμογή στις ανάγκες του ασθενούς
8. Τι κερδίζει ο ασθενής από τη ρομποτική αρθροπλαστική;
-
Βελτιωμένα λειτουργικά αποτελέσματα
-
Ταχύτερη κινητοποίηση
-
Λιγότερη απώλεια αίματος
-
Συντομότερη αποκατάσταση
-
Μικρότερο ποσοστό επιπλοκών
-
Μεγαλύτερη διάρκεια ζωής της πρόθεσης λόγω ιδανικής ευθυγράμμισης
9. Τι είναι η μονοδιαμερισματική (μερική) αρθροπλαστική γόνατος και ποια τα οφέλη της;
Πρόκειται για χειρουργική αντικατάσταση μόνο του φθαρμένου διαμερίσματος του γόνατος.
Ενδείκνυται όταν:
-
Η φθορά περιορίζεται σε ένα μόνο διαμέρισμα
-
Οι υπόλοιπες δομές της άρθρωσης είναι σε καλή κατάσταση
-
Ο ασθενής είναι σχετικά νέος
-
Η συντηρητική θεραπεία δεν αποδίδει
Πλεονεκτήματα:
-
Διατήρηση των φυσικών συνδέσμων και μεγαλύτερη φυσικότητα στην κίνηση
-
Μικρότερη επεμβατικότητα και τομή
-
Ταχύτερη ανάρρωση και νοσηλεία μικρότερης διάρκειας
-
Λιγότερες επιπλοκές και προσωποποιημένη αποκατάσταση
10. Ποια είναι η σωστή αποθεραπεία μετά από αρθροπλαστική;
Η επιτυχής αποκατάσταση περιλαμβάνει:
-
Συστηματική φυσικοθεραπεία για την ενίσχυση της κινητικότητας και της μυϊκής δύναμης
-
Επιστροφή στις καθημερινές δραστηριότητες σε λογικό χρονικό διάστημα
-
Τακτική παρακολούθηση και αξιολόγηση από τον θεράποντα ιατρό
Η οστεοαρθρίτιδα ισχίου και γόνατος αποτελεί μία από τις συχνότερες παθήσεις που επηρεάζουν την ποιότητα ζωής, ειδικά σε μεγαλύτερες ηλικίες. Ωστόσο, οι εξελίξεις στη διάγνωση και την αντιμετώπιση —συντηρητική ή χειρουργική— προσφέρουν σήμερα περισσότερες και πιο εξατομικευμένες επιλογές για τους ασθενείς. Η έγκαιρη παρέμβαση, σε συνδυασμό με την επιστημονικά τεκμηριωμένη καθοδήγηση από εξειδικευμένους ορθοπεδικούς, μπορεί να καθυστερήσει την εξέλιξη της νόσου και να οδηγήσει σε ουσιαστική βελτίωση της καθημερινότητας. Όπως τονίζουν οι ειδικοί, η σωστή ενημέρωση είναι το πρώτο βήμα για την ορθολογική αντιμετώπιση ενός τόσο πολυπαραγοντικού προβλήματος.
Επιμέλεια: Ευγένιος Γκράουρ

